開咬の矯正治療例
こんにちは。Dr.タカミです。
今回は「前歯の凸凹·出っ歯·口元がでている感じ·歯が噛み合わない(前歯部開咬)·唇が閉じにくい·あごが無い·あごの梅干し·顎関節症」を主訴に来院された方の矯正治療例を動画と文章で説明していきます。

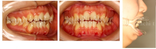
歯並びの写真を見てみると、奥歯が内側·前側に傾斜しているのがわかります。強すぎる歯軸傾斜は歯並び·噛み合わせの乱れを生じる原因となります。
下顎が右·後上方にずれているのも、これらの歯並びの乱れが原因となっています。
では、これらの歯軸傾斜·開咬の元々の原因は何でしょう?
遺伝的なもの?
いいえ違います。
口腔周囲筋のアンバランスです。
この患者さんは、写真のような舌癖と口呼吸の癖がありました。

ですから、この患者さんの矯正治療で必要なのは、舌と口唇に対する
筋肉トレーニングです。
矯正治療は一言でいえば 「歯並びを良くする治療」ですが、歯だけでなく
筋肉·骨格にアプローチしてゆくことが必要です。




この症例の動画もアップしておきますのでぜひご覧になってください。
国立市で矯正歯科を探している方、一度当院の無料相談にいらしてください。
スタッフ一同お待ちしております。


