小児矯正で永久歯萌出スペース不足・叢生を改善した症例
小児矯正で永久歯萌出スペース不足・叢生を改善した症例
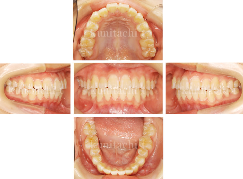
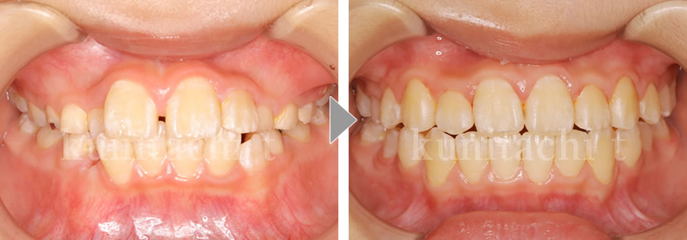
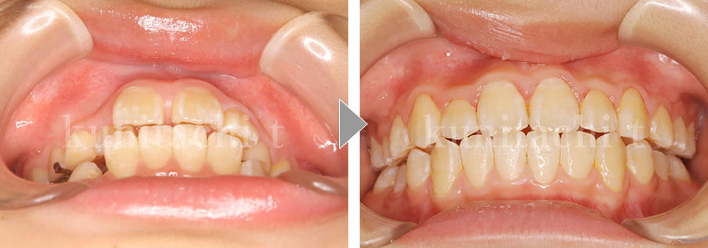
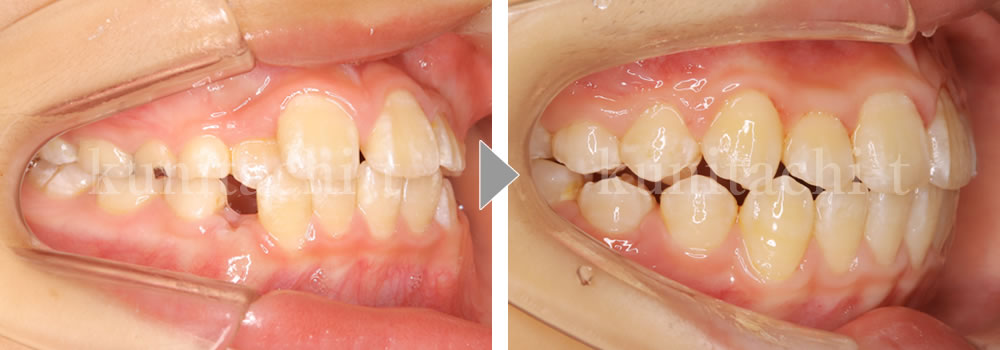
永久歯の本数には問題ありませんでしたが、歯が並ぶためのスペースがやや不足しており、一部の歯が重なって生えている状態でした。このまま経過を見ると歯並びやかみ合わせに影響する可能性があるため、今後の成長も踏まえた治療をご提案しました。
小児の矯正治療について
【①混合歯列期】
▼今できること・今しかできないこと
●骨格へのアプローチ → 本来の大きさに拡大
●筋肉へのアプローチ → 歯のまわりの筋肉のアンバランス改善
●呼吸へのアプローチ → 口呼吸から鼻呼吸へ
【治療方針】
- 上下顎側方拡大
- 口腔周囲筋アンバランス改善(筋肉トレーニング専用ルーム)
- 呼吸改善
【使用装置】 ※1年半前後
- BB1
- uni.
- トレーナー
混合歯列期は生えてくる永久歯が、美しく機能的に並ぶための環境を整えます。
【②永久歯列期まで成長観察】
保険診療にて対応
ーーーここまでで矯正治療終了を目標ーーー
【③永久歯列期】
永久歯が生えそろった後、歯並びやかみ合わせを確認し、必要に応じて成人矯正へ移行して最終的な仕上げを行います。
小児矯正治療前後の比較
これから小臼歯が生えそろい、しっかり噛めるようになっていきます。でも、低位舌があると歯並びに影響が出ることも…。「上顎に舌!唇をとじる!鼻呼吸!」良い歯並びをつくるおまじないです。
これから・・・
●永久歯列期まで成長観察:4ヶ月に一度
●クリーニング・フッ素塗布(保険証持参)
トレーナーは、しっかり使っていきましょう。舌はスポットに!くちびるを閉じて、鼻呼吸を意識しましょう。筋肉は正しく使わないと、元に戻ってしまいます。
低位舌や口呼吸は、しっかり改善していきましょう。鼻呼吸をマスターすると、良いことがたくさんあります。
矯正治療完了後の感想
▼矯正治療後の本人の感想

▼矯正治療後の親御さんの感想

矯正終了より3年後

第2大臼歯も萌出して永久歯列が良い状態で完成しました。
| 年齢・性別 | ◯歳女児 |
|---|---|
| 治療期間 | 1年8ヶ月 |
| 抜歯 | なし |
| 治療費 | 小児矯正 550,000円 (税込) 調整費 5,500円(税込) |
| リスクなど | ・矯正に伴う鈍痛が生じる場合があります。 |
国立の矯正歯科で歯並び矯正治療をお考えの方は無料相談をご利用下さい

国立駅すぐの矯正歯科である国立t歯科では歯並び矯正に関する無料相談・セカンドオピニオンを実施中です。矯正治療実績豊富な矯正歯科医が矯正の治療費や期間、装置の選択肢なども含めご相談・ご質問にお答えしますので、ぜひお気軽にご活用ください。











