【確認】先天的欠損による前歯の隙間を矯正治療と接着歯で改善した症例
先天的欠損による前歯の隙間を矯正治療と接着歯で改善した症例
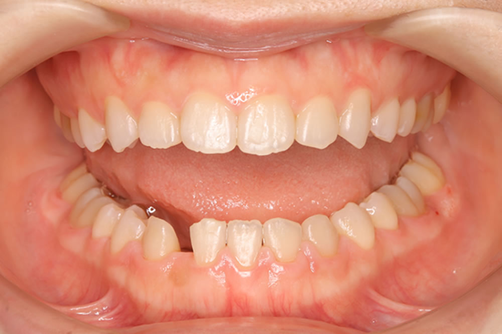
こちらの患者さまは、「上下前歯のすき間が気になる」とのことで来院されました。
下顎の前歯は、先天欠損(生まれつき歯の本数が足りない状態)があるため、患者さまと相談し、下記の治療計画を立案しました。
治療計画
矯正治療(矯正医)
・主訴である「すきま」改善。(審美改善)
・歯軸傾斜改善により、噛み合わせのアンバランス改善。(機能改善)
保定・経過観察
・保定装置を使用し、改善後の歯並びを固定。
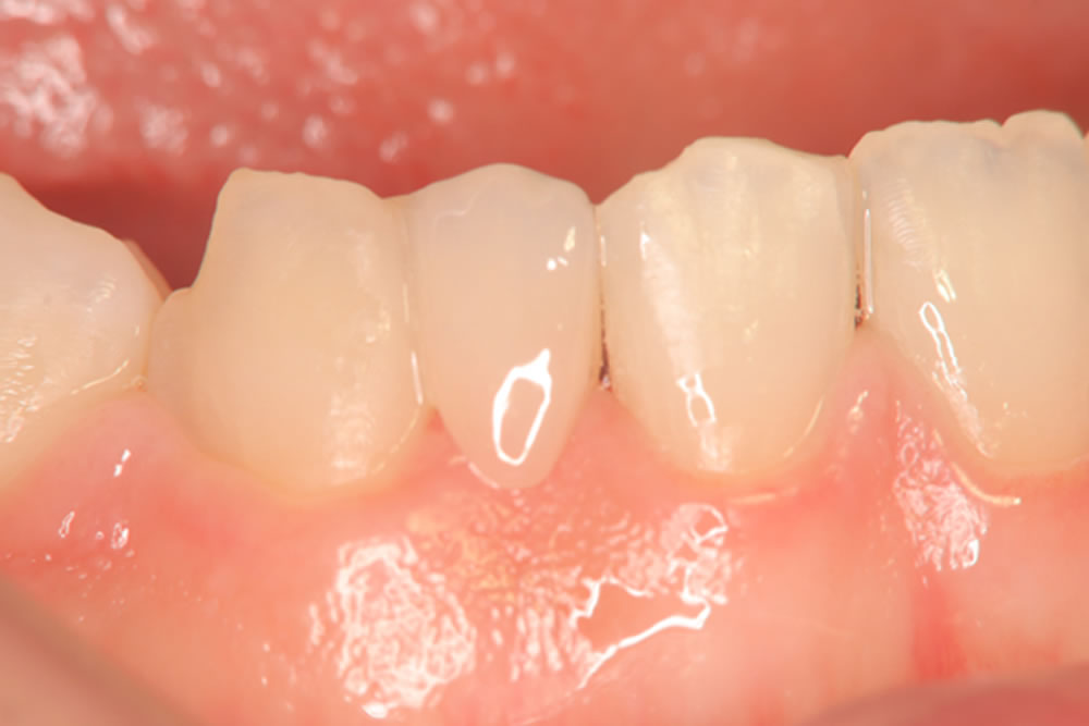
下前歯欠損部の隙間を接着歯で改善(理事長)
・下顎前歯の欠損スペースを接着歯で処置し、見た目を整える。
接着歯の装着・治療完了
| 年齢・性別 | 30代女性 |
|---|---|
| 治療期間 | 動的治療 1年4ヶ月 接着ポンティック印象 2022/4/05 接着ポンティックセット 2022/4/30 |
| 抜歯 | なし |
| 治療費 | 矯正1,100,000円/税込 2020年9月現在 接着歯132,000円/税込 2022年4月現在 ※矯正費は価格改定により現在は金額が異なります。 |
| リスクなど | ・矯正に伴う鈍痛が生じる場合があります。 ・接着歯は、強い力がかかると脱落することがあります。 |







